Расщепление альвеолярного гребня с помощью набора Esset KIT

Гён Тхе Парк, Сан Юп Ли, ЙонгДжин Ким

ВВЕДЕНИЕ

Расщепление создает условия для установки имплантатов в узком альвеолярном гребне. После проведения длинного горизонтального распила вестибулярную кортикальную пластинку смещают в вестибулярном направлении. Со временем сформированное пространство заполняется новообразованной костной тканью и ширина гребня увеличивается. Традиционно для вмешательства используют долота, но такой подход не позволяет контролировать точность и усилие при надломе кости, а значит и создать условия для высокой первичной стабильности имплантатов.

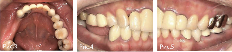
Клинический случай 1

Без вертикальных распилов 
Пациентка, 80 лет. 
Основная жалоба: несостоятельность съемного частичного протеза (СЧП) на нижней челюсти.
Общий анамнез: гипертония.
Стоматологический анамнез: СЧП на нижней челюсти 10 лет назад.
План лечения: расщепление гребня с использованием набора Esset KIT с одномоментной имплантацией.


Рис. 1—2. Исходная рентгенологическая и клиническая картина.


Рис. 3—10. Провели горизонтальный разрез по середине гребня и дистальный вертикальный разрез. Мобилизовали полнослойный лоскут.


Рис. 11—14. Второе хирургическое вмешательство через 12 недель после имплантации.


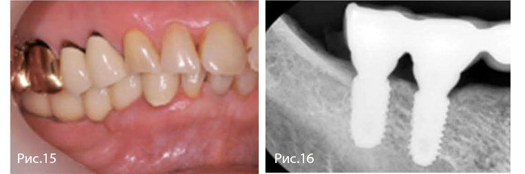
Рис. 15—16. Окончательное протезирование через 14 недель после имплантации. Отмечают благоприятное состояние мягких тканей в области вмешательства. Через один год уровень краевой кости и костная поддержка имплантатов стабильны.

Клинический случай 2

Один вертикальный распил 
Пациентка, 36 лет.
Основная жалоба: частичная адентия. 
Общий анамнез: без особенностей.
Стоматологический анамнез: 5 лет назад установлен СЧП на нижней челюсти.
План лечения: расщепление гребня с помощью набора Esset с одномоментной имплантацией.


Рис. 1—2. Исходная рентгенологическая картина.


Рис. 3—5. Клиническая картина.


Рис. 6—14. После проведения горизонтального и медиального вертикального разрезов мобилизовали полнослойный лоскут. Специальной фрезой узкий край гребня сошлифовали до достижения его ширины 3-4 мм.


Рис. 15—18. Окончательное протезирование через 14 недель после имплантации. Ширина гребня и объем кератинизированной десны стабильны. На КТ отмечают оптимальную костную поддержку имплантатов в области первого премоляра и первого моляра.

Клинический случай 3

Два вертикальных распила 
Пациентка, 66 лет. 
Основная жалоба: несостоятельность СЧП. 
Общий анамнез: гипертония, сахарный диабет.
Стоматологический анамнез: протезирование на нижней челюсти за 8 лет до обращения.
План лечения: расщепление гребня с помощью набора Esset с одномоментной имплантацией.


Рис. 1—2. Исходная рентгенологическая и клиническая картина.


Рис. 3—12. Оперативное вмешательство. Послеоперационная панорамная рентгенограмма.

ЗАКЛЮЧЕНИЕ

Использование набора для расщепления Esset позволяет эффективно увеличивать ширину альвеолярного гребня даже при выраженной атрофии по типу «лезвия ножа». Специально разработанные инструменты существенно облегчают и ускоряют вмешательство. Выбор протокола расщепления зависит от исходной клинической ситуации: для большего смещения вестибулярной пластинки в дополнение к горизонтальному выполняют один или два вертикальных распила.

Рекомендованные статьи

Все статьи
вКонтакте YouTube Telegram RuTube