Клинический случай. Модифицированное расщепление и расширение гребня (набор ESSET®) для установки имплантатов (TSIII SOI, SA®) при выраженной атрофии кости в дистальных отделах нижней челюсти

Си Вон Юн (1), Ын Гён Пан (2)

1Отделение пародонтологии больницы Мокдонг при женском университете Ихва (Сеул, Республика Корея) 2Кафедра пародонтологии медицинского колледжа женского университета Ихва (Сеул, Республика Корея)


Информация о пациенте
• Женщина, 67 лет
• Вовлеченные зубы: 34, 36, 45, 47
• Причина обращения: установка имплантатов в дистальных отделах нижней челюсти
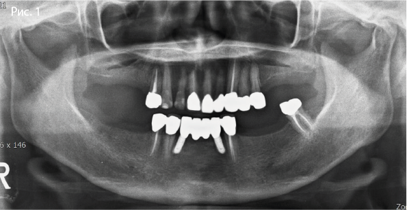
• Панорамная рентгенограмма: выраженная атрофия дистальных отделов нижней челюсти
• Диагноз: частичная адентия

План лечения
  1. Снятие отложений и инструктаж по самостоятельной гигиене полости рта.
  2. Нижняя челюсть: установка имплантатов по схеме 34-x-36 и 45-x-47 после модифицированного расщепления и расширения гребня.
  3. Верхняя челюсть:
  • удаление зуба 14 и консервация лунки,
  • установка имплантатов в позиции 14,15-x-17, 26, 27.
До После
 Р. 1.png

Исходная панорамная рентгенограмма

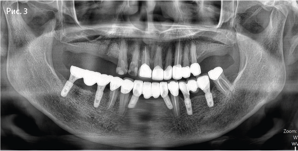
 Р.3.png

Контрольная панорамная рентгенограмма

 р.2.png

Выраженная атрофия нижнего альвеолярного гребня

 Р.4.png

Протезы с опорой на имплантаты


Клинический протокол
Имплантаты в позиции 45, 47 (Osstem TSIII SOI 45: 4,0x10,0; 47: 5,0x10,0)

Р.5.png

Рис. 5. Модифицированное расщепление/расширение гребня с использованием скальпеля, микропилы, молотка и набора для расщепления. Имплантаты в позиции 45 и 47, НКР в области расщепления

Р. 6.jpg

Р. 7.png

Рис. 7. Раскрытие имплантатов с апикальным смещением лоскута Р.8 .jpg

Имплантаты в позиции 34, 36 (Osstem TSIII SA 34: 4,0x10,0; 36: 5,0x8,5)


р. 9.jpg
Рис. 9.  Модифицированное расщепление/расширение гребня с использованием скальпеля, микропилы, молотка и набора для расщепления. Имплантаты в позиции 34 и 36, НКР в области расщепления

Р. 10.jpgР. 11.jpgРис. 11. Апикальное смещение лоскута
Р. 12.jpg

Выводы

  • При дефиците толщины гребня нижней челюсти его модифицированное расщепление/расширение с использованием микропилы и спредеров образует ограниченный включенный дефект, при этом снижается риск перелома вестибулярной стенки. Таким образом создаются благоприятные условия для установки имплантатов.
  • Апикальное смещение лоскута с увеличением глубины преддверия может улучшить состояние мягких тканей в области постоянного протеза с опорой на имплантаты.
  • Имплантаты с модифицированной поверхностью Osstem TSIII SOI®, Osstem TSIII SA® отличаются лучшей остеоинтеграцией. 

Рекомендованные статьи

Все статьи
вКонтакте YouTube Telegram RuTube